Ist Schneckenkosmetik mit 98% Helix Aspersa wirklich wirksam?
Tags
Ja. Die hohe Konzentration sorgt für eine intensive Regeneration der Haut. Studien und dermatologische Erfahrungen zeigen, dass Schneckenextrakt die Hautelastizität verbessern und feine Linien sichtbar reduzieren kann.
Wirkung von Helix aspersa-Schleim auf die Regeneration von Haut mit lichtbedingten Alterungsmerkmalen bei verschiedenen Anwendungsarten:
- Klinik für Dermatologie und Venerologie, Pommersche Medizinische Universität Stettin, 70-010 Police, Polen;
- Klinik für Ästhetische Dermatologie, Pommersche Medizinische Universität Stettin, 70-111 Stettin, Polen;
- Klinik für Histologie und Embryologie, Pommersche Medizinische Universität Stettin, 70-111 Stettin, Polen;
- Klinik für Physiologie, Pommersche Medizinische Universität Stettin, 70-111 Stettin, Polen
Finanzierung:
Diese Studie wurde von Nature Cosmetics, Produktlinie „Gesunde Haut", Siewierz, Polen, finanziert.
Die Studie wurde gemäß der Deklaration von Helsinki durchgeführt und von der Ethikkommission der Pommerschen Medizinischen Universität Stettin, Polen, unter der Beschlussnummer KB-0012/124/19 genehmigt.
Schlussfolgerungen:
- Die Ergebnisse der Studie deuten darauf hin, dass die Verwendung von Schneckenschleimpräparaten zur Hautpflege sowie deren Einführung mittels Mikro-Nadel- und nadelloser Mesotherapie einen positiven Einfluss auf den Hautzustand hatte.
- Darüber hinaus ist hervorzuheben, dass bei keinem der Patienten Nebenwirkungen wie allergische Reaktionen, Ausschläge, Hautreizungen oder andere auftraten.
- Die Ergebnisse der Studie zeigten, dass Präparate mit Schneckenschleim als wirksame Gewebebiostimulatoren angesehen werden können.
- Die Ergebnisse der vorliegenden Untersuchung legen nahe, dass die Einbeziehung sowohl der Mikro-Nadel- als auch der nadelfreien Mesotherapie, die das Einbringen der im Schneckenschleim enthaltenen Inhaltsstoffe in den Hautpflegeplan von Frauen erleichtern, viele Vorteile bringen kann, die auch zu einer Verbesserung ihres Wohlbefindens beitragen.
- Es sollte jedoch betont werden, dass in diesem Bereich weitere Forschung erforderlich ist, insbesondere auf der Grundlage molekularer Methoden und mit größeren Patientengruppen.
Ergebnisse
1. Histologische Untersuchung:
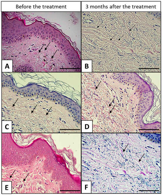
Bei Patientinnen der Gruppe A (Mikro-Nadel-Mesotherapie + 98,2 % Schneckenschleim) waren vor der Anwendung der Schneckenschleimpräparate Kollagenfasern in der papillären Schicht der Dermis sichtbar. Zudem waren die Kollagenfasern weniger dicht gepackt, dünner und unregelmäßig verteilt (Abbildung 1A und Abbildung 2A).
Nach der Anwendung des Schneckenschleimpräparats waren in der Haut der Patientinnen dickere Kollagenfasern sichtbar, die sich bildeten und sich in dünnen Bündeln im entsprechenden Bereich der Dermis anordneten. Ebenso bestanden in der retikulären Schicht, die aus unregelmäßigem Bindegewebe gebildet wird, die Kollagenfaserbündel aus Fasern mit leicht welliger Anordnung, die nicht eng aneinander in Bündeln lagen.
Abbildung 1. Haut der Patientinnen vor und nach 3 Monaten Behandlung.
(A,B) Mikro-Nadel-Mesotherapie + Schneckenschleim 98,2 %;
(C,D) Mikro-Nadel-Mesotherapie + NaCl;
(E,F) Nadelfreie Mesotherapie + Schneckenschleim 98,2 %.
Schwarze Pfeile zeigen Kollagenfaserbündel; H-E-Färbung; Objektivvergrößerung 40×. Maßstabsbalken: 100 µm.
Abbildung 1:

Abbildung 2. Haut der Patientinnen vor und nach 3 Monaten Behandlung.
(A,B) Mikro-Nadel-Mesotherapie + Schneckenschleim 98,2 %;
(C,D) Mikro-Nadel-Mesotherapie + NaCl;
(E,F) Nadelfreie Mesotherapie + Schneckenschleim 98,2 %.
Gelbe Pfeile zeigen Kollagenfaserbündel; Mallory-Trichrom-Färbung; Objektivvergrößerung 40×. Maßstabsbalken: 100 µm.
In der Haut waren nach der Anwendung des Schneckenschleimpräparats in der papillären Schicht der Dermis dickere Kollagenfasern sichtbar, die sich zu dünnen Bündeln formierten und anordneten. In der retikulären Schicht der Dermis waren Kollagenfaserbündel mit kompakter Struktur deutlich erkennbar.
Darüber hinaus waren in dieser Schicht nach den Pflegebehandlungen mehr Fibroblasten sichtbar, die für die Synthese aller Bestandteile der Interzellularsubstanz, einschließlich der Kollagenfasern, verantwortlich sind (Abbildung 1B und Abbildung 2B).
Auch bei Patientinnen der Gruppe B (Mikro-Nadel-Mesotherapie + 0,9 % NaCl-Lösung) (Abbildung 1C,D und Abbildung 2C,D) sowie der Gruppe C (nadelfreie Mesotherapie + 98,2 % Schneckenschleim) (Abbildung 1E,F und Abbildung 2E,F) wurden ähnliche Veränderungen der Kollagenfaserdicke vor der Behandlungsserie und 3 Monate nach der Behandlungsserie festgestellt.
Abbildung 2:

Der nächste Schritt der morphologischen Beurteilung war die Bewertung der retikulären Fasern (Abbildung 3A–F und Abbildung 4A–F).
In Gruppe A waren nach der Anwendung von natürlichem Schneckenschleim mehr retikuläre Fasern in der Haut sichtbar, mit ihrer charakteristischen Lokalisation in der papillären Schicht direkt unterhalb der Epidermis sowie in der retikulären Schicht der Dermis (Abbildung 3B).
Die retikulären Fasern färbten sich mit Silbersalzen schwarz. Ähnliche Ergebnisse wurden in der Patientinnengruppe beobachtet, die eine Mikro-Nadel-Mesotherapie mit 0,9 % NaCl-Lösung erhielt, sowie bei Patientinnen, die eine nadelfreie Mesotherapie mit 98,2 % Schneckenschleim erhielten.
Abbildung 3. Haut der Patientinnen vor und nach 3 Monaten Behandlung.
(A,B) Mikro-Nadel-Mesotherapie + Schneckenschleim 98,2 %;
(C,D) Mikro-Nadel-Mesotherapie + NaCl;
(E,F) Nadelfreie Mesotherapie + Schneckenschleim 98,2 %.
Schwarze Pfeile zeigen retikuläre Fasern; AgNO₃-Färbung; Objektivvergrößerung 40×. Maßstabsbalken: 100 µm.
Abbildung 3:

Abbildung 4. Haut der Patientinnen vor und nach 3 Monaten Behandlung.
(A,B) Mikro-Nadel-Mesotherapie + Schneckenschleim 98,2 %;
(C,D) Mikro-Nadel-Mesotherapie + NaCl;
(E,F) Nadelfreie Mesotherapie + Schneckenschleim 98,2 %.
Picro-Sirius-Rot-Färbung; Objektivvergrößerung 40×. Maßstabsbalken: 100 µm.
Abbildung 4.

Unter Berücksichtigung der Menge an retikulären Fasern weisen unsere Ergebnisse darauf hin, dass die beiden Applikationsmethoden von Schneckenschleim sowie die Anwendung von 0,9 % NaCl mittels Mikro-Nadel-Mesotherapie zu ähnlichen Effekten führten.
In den drei untersuchten Gruppen wurden bei den Patientinnen 3 Monate nach der Behandlungsserie mehr elastische Fasern beobachtet als in der Haut vor den Behandlungen (Abbildung 5). Die größte Anreicherung elastischer Fasern in der Dermis wurde jedoch bei Patientinnen festgestellt, die eine Serie nadelfreier Mesotherapiebehandlungen mit 98,2 % Schneckenschleim erhielten (Abbildung 5C).
Abbildung 5. Haut der Patientinnen vor und nach 3 Monaten Behandlung.
(A,B) Mikro-Nadel-Mesotherapie + Schneckenschleim 98,2 %;
(C,D) Mikro-Nadel-Mesotherapie + NaCl;
(E,F) Nadelfreie Mesotherapie + Schneckenschleim 98,2 %.
Schwarze Pfeile zeigen elastische Fasern; Orcein-Färbung; Objektivvergrößerung 40×. Maßstabsbalken: 100 µm.
Abbildung 5.


















Zertifizierte Bio-Farm

